News & Articles
Apa Saja Sih Buah Dan Sayur Yang Bagus Untuk Kesehatan Gigi?
Sahabat Ester, selain gosok gigi minimal 2x sehari, mengkonsumsi buah dan sayur pilihan bisa juga loh untuk kesehatan gigi kamu! Apa saja sih buah dan sayur yang bagus untuk kesehatan gigi kamu? Contohnya ada buah apel, jeruk, lemon, cranberry, dan juga jambu biji....
Kementrian Sekretariat Negara Ajak Jajarannya Bincang Seputar Kesehatan Gigi
Sahabat Ester, di tahun 2010 silam, Menteri Sekretaris Negara yang saat itu diduduki oleh Ibnu Purna, pernah bincanhg seputar kesehatan gigi loh bersama dokter gigi di forum Kementrian Sekretariat Negara! Dilansir dari Setneg.go.id, Ibnu Purna mengungkapkan bahwa...
Maya Estianti Kehilangan 5 Giginya Karena Sering Mengunyah Permen
Dilansir dari CNN Indonesia, Maya Estianti kehilangan 5 giginya setelah kebiasannya terlalu sering mengunyah permen. Maya mengalami gigi berlubang dan bergegas konsultasi ke dokter gigi. Sahabat Ester, permen dikemas dengan gula, dan gula mampu menyebabkan kerusakan...
Apa Saja Hal Penting Sebelum Pemasangan Behel Gigi?
Sahabat Ester, mimin akan memberikan kamu seputar prosedur pemasangan behel gigi. Pada kunjungan yang pertama, dokter akan melakukan pemeriksaan fisik pada gigi Anda. Dokter biasanya juga melakukan rontgen gigi atau dental X-ray untuk melihat kondisi gigi...
Stop Dan Hindari Menggigit Kuku Serta Benda Keras Sejenisnya!
Sahabat Ester, menggigit kuku adalah kebiasaan yang umum terjadi pada banyak orang, terutama saat mereka merasa cemas, stres, atau bosan. Meskipun terlihat sebagai kebiasaan yang tidak berbahaya, menggigit kuku sebenarnya dapat memiliki beberapa akibat negatif....
Apa Peran Gigi Tiruan?
Sahabat Ester, apakah kamu pernah mengalami gigi patah atau lepas? Atau malah keluarga dan teman kamu yang mengalaminya?. Pernah berfikir membiarkan gigi yang lepas tersebut? Nah, kali ini mindok mau jelasin nih kenapa gigi yang lepas harus diganti dengan gigi tiruan....
Yuk Simak Peran Klinik Ester Dental di Pemilihan Duta Wisata Sukoharjo 2023!
Dalam rangka Pemilihan Duta Wisata Mas Mbak Sukoharjo tahun 2023, klinik Ester Dental ikut berkontribusi dalam memberikan pelayanan kesehatan gigi untuk para peserta. Acara digelar di Tosan Hotel Dusun I, Langenharjo, Kec. Grogol, Kabupaten Sukoharjo pada Kamis pagi,...
Bagaimana Merawat Gigi Taring Agar Tetap Kuat?
Gigi taring merupakan struktur gigi terkuat untuk mencabik makanan. Gigi taring memiliki 4 posisi, yaitu 2 di bagian bawah dan 2 di bagian atas dalam mulut. Gigi taring memiliki bentuk yang tajam dan runcing. Pertumbuhannya dimulai di bagian atas kemudian diikuti...
Yuk Kenali Apa Itu Anatomi Gigi!
Makanan pertama kali masuk dalam tubuh melalui mulut. Di dalam mulut terdapat beberapa proses pencernaan, salah satunya gigi. Di sini, gigi membantu memecah makanan menjadi potongan yang lebih kecil. Hal ini akan membantu enzim-enzim pencernaan agar dapat mencerna...
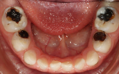
Atasi Karang Gigi Anak Dengan Silver Diamina Flouride (SDF)!
Silver Diamina Flouride atau biasa disingkat SDF adalah salah satu treatment untuk menghentikan karies gigi pada anak. Kelebihan treatment ini dibanding treatment lain adalah : Treatment SDF lebih cepat dalam proses membunuh organisme pathogen pada gigi si kecil....









