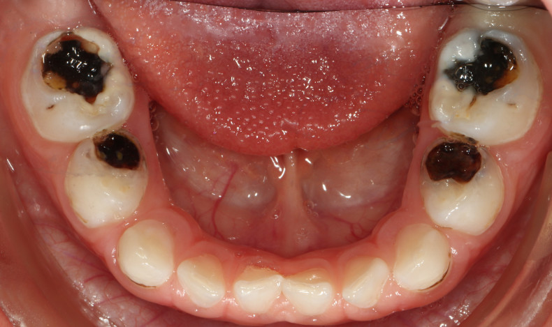
Silver Diamina Flouride atau biasa disingkat SDF adalah salah satu treatment untuk menghentikan karies gigi pada anak.
Kelebihan treatment ini dibanding treatment lain adalah :
- Treatment SDF lebih cepat dalam proses membunuh organisme pathogen pada gigi si kecil.
- Treatment ini akan membuat gigi si kecil akan lebih tahan terhadap abrasi dari makanan dan minuman yang bersifat asam
- Si kecil tidak akan merasakan sakit saat melakukan treatment ini
- Lebih simple karna treatment ini dilakukan 6-12 bulan sekali
Cara kerja SDF
Kandungan fluoride dalam cairan SDF bertujuan untuk meningkatkan kekuatan gigi dengan mempromosikan remineralisasi emailatau lapisan luar gigi yang keras. Sementara itu, kandungan perak di dalamnya dapat membunuh bakteri yang menyebabkan karies, alias gigi berlubang.
Selain mengobati gigi berlubang anak-anak, SDF juga dapat mengobati gigi sensitif pada orang dewasa. Caranya dengan memperkuat dentin, yaitu bagian sensitif dari gigi yang berada di bawah email gigi.
Keuntungan menggunakansilver diamine fluoride(SDF)
Ada banyak keuntungan yang ditawarkan oleh SDF, di antaranya [12, 13]:
- Efektif dan efisien.
- Aman, tidak ada efek samping yang serius selain pewarnaan.
- Proses yang cepat dan tidak menyakitkan, sehingga dapat menjadi pilihan yang bagus untuk anak-anak, terutama yang berusia dua hingga delapan tahun, karena mudah mengalami kecemasan situasional.
- Pilihan yang baik untuk beberapa orang dengan kebutuhan khusus, seperti cacat intelektual dan perkembangan.
- Tidak hanya mencegah karies menyebar atau bertambah besar, Silver Diamine Fluoride juga dapat mencegah munculnya gigi berlubang di masa mendatang.
- Harga relatif murah, meskipun bervariasi.
Pastikan anda berkonsultasi terlebih dahulu dengan dokter gigi yang ahli di bidangnya. Dan Ester Dental mampu membantu anda menangani permasalahan pada gigi anda!
Buat janji atau kunjungi klinik Ester Dental di Kota Solo!

drg Ester Dwi Cahyadi MDSc, SP. KGA
Dokter Gigi Spesialis Anak
Ester Dental Solo Baru 1
Jl Ir Soekarno Ruko HC 15, Pusat Bisnis Solo Baru
Whatsapp : 08777 243 9191
Ester Dental Solo Baru 2
Jl. Ir Soekarno 31A, Solo Baru
Whatsapp : 0811261269191
Ester Dental Fajar Indah
Jl. Pakel 61A, Baturan, Colomadu
Whatsapp 082296179191
Ester Dental Solo Kota
Whatsapp 082218019191
kunjungi sosmed kami :
Facebook: https://www.facebook.com/ester.dental
Instagram: https://www.instagram.com/esterdentalclinic/