
Haloo sahabat Ester Dental, tahukah kamu apa itu karang gigi? yukk simak penjelasan tentang karang gigi bareng mindok.
Pertama kita bahas dulu yaa, apa itu karang gigi?
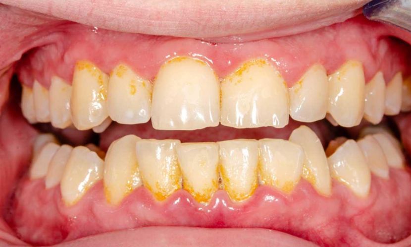
Karang gigi adalah plak gigi yang mengeras dan tumbuh sedikit demi sedikit. Awalnya, plak gigi terbentuk ketika bakteri dalam mulut bercampur dengan protein dan sisa-sisa makanan. Jika tidak dibersihkan, maka plak tersebut dapat menyebabkan karang gigi.
Jika karang gigi dibiarkan dan tidak segera diatasi, maka iritasi dan peradangan pada gigi dan gusi akan mudah muncul.
Lalu, apa efek dari karang gigi untuk gigi kita ?
Efek yang paling umum jika memiliki karang gigi adalah proses menyikat gigi dan flossing menjadi tidak efektif. Gangguan pada gigi ini akan memudahkan proses pemecahan lapisan gigi yang diakibatkan oleh asam dan dikeluarkan oleh bakteri mulut. Hal ini akan memudahkan munculnya gigi berlubang atau kerusakan gigi.
Selain itu, efek karang gigi lainnya adalah sebagai berikut:
• Menjadi tempat bersarang bakteri
Secara keseluruhan, karang gigi memiliki efek serius pada kesehatan mulut terutama jika tumbuh di atas garis gusi. Sebab ini merupakan tempat yang tepat bagi bakteri untuk bersarang, kemudian menyusup ke dalam gusi sehingga membuatnya rusak, serta mengalami iritasi dan peradangan.

• Menyebabkan gingivitis alias radang gusi
Salah satu efek paling umum dari karang gigi adalah terjadinya gingivitis alias radang gusi. Setelah gingivitis terjadi, sementara karang gigi tetap ada, maka gusi tinggal menunggu waktu untuk terkena penyakit periodontitis. Penyakit ini berbentuk kantong nanah yang timbul di antara gusi dan gigi.

• Meningkatkan risiko gigi tanggal
Ketika sistem pertahanan tubuh melakukan reaksi perlawanan terhadap bakteri yang ada di dalam kantong nanah gigi maka secara bersamaan bakteri juga akan melepaskan zat pertahanan diri. Akibatnya, tulang gigi dan jaringan di sekitarnya bisa mengalami kerusakan. Jika terus berlanjut, maka bersiaplah untuk kehilangan gigi, sekaligus mengalami penipisan tulang di mana gigi tertanam.

• Memicu penyakit jantung dan stroke
Munculnya penyakit jantung dan stroke bisa juga berhubungan dengan kesehatan gusi. Diduga bakteri dan mikroorganisme yang terdapat dalam plak gigi bisa masuk ke dalam aliran darah dan menimbulkan reaksi peradangan. Kondisi ini menyebabkan kerusakan dan penyumbatan pada pembuluh darah. Jika aliran darah tersumbat, maka risiko terkena penyakit jantung dan stroke akan meningkat.

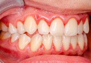
Waahh…. Ternyata karang gigi bukan masalah sepele yaa guys, banyak efek buruk untuk kesehatan tubuh kita karna karang gigi. Tapi, sahabat Ester Dental tak perlu khawatir. Mindok bakalan bagi tips mencegah penumpukan karang gigi buat sahabat Ester Dental.
Beberapa tindakan yang bisa dilakukan sahabat Ester Dental agar karang gigi tidak merajalela dalam mulut sehingga efek buruknya bisa dicegah, antara lain:
• Menyikat gigi
Menyikat gigi dua kali sehari selama minimal dua menit dianggap mampu mencegah tumbuhnya karang gigi. Gunakan sikat gigi yang lembut dan mampu menjangkau bagian belakang gigi geraham.

• Gunakan pasta gigi yang mengandung flouride
Pasta gigi yang mengandung flouride dianggap mampu mencegah plak berkembang menjadi karang gigi. Pasta gigi jenis ini juga lebih efektif dalam memperbaiki lapisan gigi yang rusak. Akan lebih baik jika pasta gigi yang digunakan juga mengandung triklosan yang mampu memerangi bakteri yang berdiam di plak gigi.

• Flossing
Membersihkan gigi dengan benang gigi atau flossing adalah solusi paling jitu untuk membersihkan plak yang ada di sela-sela gigi, sehingga mengurangi kemungkinan terbentuknya karang gigi. Flossing tetap perlu dilakukan, meski sudah menyikat gigi rutin.

• Kurangi makanan dan minuman manis
Bakteri yang ada di mulut sangat erat kaitannya dengan jenis makanan yang dikonsumsi. Mereka berkembang dengan baik saat makanan manis dan bertepung dikonsumsi. Bakteri akan mengeluarkan zat asam berbahaya jika bertemu dengan kedua jenis makanan di atas. Cara terbaik mengurangi kemungkinan terbentuknya karang gigi adalah dengan membatasi jenis-jenis makanan tersebut.

• Hindari merokok
Kebiasaan merokok mempermudah pembentukan karang gigi.

Lalu apa yang harus dilakukan sahabat Ester Dental bila karang gigi terlanjur menumpuk? Tentu saja sahabat Ester Dental bisa melakukan scaling di klinik gigi enam bulan sekali.
Sampai jumpa di Ester Dental.
Buat janji temu dengan dokter spesialis kami di :
Jl Ir Soekarno Ruko HC 15, Pusat Bisnis Solo Baru
Whatsapp : 08777 243 9191
Apotek K24
Jl Moh Yamin No 91, Kratonan, Serengan, Surakarta
0822 1801 9191
Jl Pakel no 61 Baturan, Fajar Indah, Surakarta
0822 9617 9191
kunjungi sosmed kami :
Facebook: https://www.facebook.com/ester.dental
Instagram: https://www.instagram.com/esterdentalclinic/
Youtube: https://www.youtube.com/channel/UCxkoMWZhXuLe9QM_Hbr89ZA