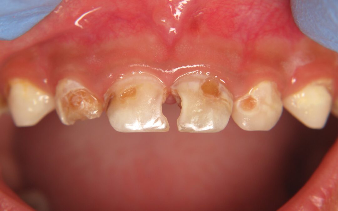
Gigi gigis sering ditemukan pada anak-anak usia dari usia 2-8 tahun. Gejala paling khas dari gigi gigis adalah munculnya bintik kecoklatan atau kehitaman pada gigi. Lama-lama, bintik kecoklatan ini semakin meluas dan membentuk lubang. Anak mungkin tidak akan merasakan apa-apa bila lubang pada gigi mereka masih kecil. Pada anak, banyak faktor bisa menyebabkan masalah email pada gigi susu anak serta pada gigi permanen yang sudah mulai tumbuh. Munculnya masalah gigi pada anak ini tak hanya menyebabkan munculnya rasa sakit dan tak nyaman saja namun juga membuat mereka kurang percaya diri dengan penampilan.

Terjadinya gigi gigis menyebabkan perubahan warna dan bentuk pada gigi anak. Kondisi ini juga menyebabkan meningkatnya sensitivitas gigi terhadap rasa panas, dingin, serta makanan manis-manis. Menjadi kasarnya lapisan gigi juga menyebabkan makanan dan bakteri menempel dan tersimpan sehingga risiko karang gigi dan infeksi juga meningkat.

Permasalahan ini sangat kerap dialami oleh anak dan masih belum ditemukan cara mengatasi yang benar-benar ampuh. Hanya saja, seperti dilansir dari The Health Site, identifikasi awal bisa menyelamatkan gigi dari lubang dan kerusakan lebih lanjut.

Penyebab Gigi Gigis

Pembentukan email gigi pada manusia terjadi sejak tiga bulan di dalam kandungan hingga usia delapan tahun. Selama periode ini, sel yang memproduksi email menjadi sangat sensitif terhadap lingkungan, psikologis, atau perubahan biokimia yang terjadi di dalam tubuh dari ibu hamil atau anak.

Gigi gigis menandakan adanya gangguan pada saat pembentukan email sehingga berdampak pada struktur gigi dan munculnya kondisi kusam dan tak sempurna pada gigi. Perubahan bentuk dan tekstur gigi yang terjadi ini kemudian memengaruhi tampilan gigi anak dan membentuk kondisi gigis ini.

Penanganan Gigi Gigis

Penanganan dari masalah gigi gigis ini sangat tergantung dari seberapa parah kondisi gigi anak. Penanganan bisa sangat mudah pada kondisi masalah ringan untuk meminimalisasi komplikasi dan memaksimalkan hasil perawatan. Masalah ini cenderung mustahil dicegah karena faktor risiko yang memang tak bisa dikontrol.

Penanganan awal yang bisa dilakukan oleh dokter terhadap masalah ini meliputi:

– Pemberian resep untuk meningkatkan kandungan mineral dalam gigi dan mencegah pembentukan karang gigi
– Perubahan pola makan untuk mencegah noda gigi dan kerusakan email
– Rehabilitasi estetik untuk memulihkan rasa percaya diri anak

Perhatian orangtua pada kondisi gigi anak merupakan hal yang penting untuk mencegah memburuknya masalah ini. Hal ini bisa dilakukan dengan sering mengajak dan memeriksakan anak ke dokter gigi secara teratur untuk mencegah munculnya masalah.

Tenang, Ester Dental Klinik akan membantu permasalahan gigi pada anak anda!

Yuk buat janji temu atau kunjungi 4 cabang Ester Dental Klinik di Kota Solo!

Ester Dental Solo Baru 1

Jl Ir Soekarno Ruko HC 15, Pusat Bisnis Solo Baru

Whatsapp : 08777 243 9191

Ester Dental Solo Baru 2

Jl. Ir Soekarno 31A, Solo Baru

Whatsapp : 0811261269191

Ester Dental Fajar Indah

Jl. Pakel 61A, Baturan, Colomadu

Whatsapp 082296179191

Ester Dental Solo Kota

Whatsaap 082218019191

Atau kunjungi sosmed kami :

Facebook: https://www.facebook.com/ester.dental

Instagram: https://www.instagram.com/esterdentalclinic/

Share This